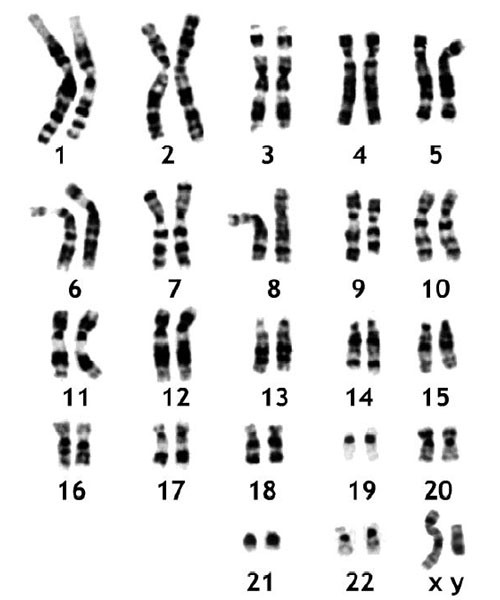
Cariotipo
- El material genético de cada persona se encuentra dentro de las células separado en 23 pares de “paquetes de genes” o cromosomas provenientes de cada uno de los padres. Las enfermedades cromosómicas más frecuentes son anomalías en el número de cromosomas llamadas trisomías, en las que todas las células contienen 3 cromosomas de un determinado par en lugar de dos. La más común de estas enfermedades es la trisomía 21 (o síndrome de Down), seguida por otras dos enfermedades más graves llamadas trisomía 18 (síndrome de Edwards) y trisomía 13 (síndrome de Patau). Otras enfermedades cromosómicas relativamente frecuentes afectan al número cromosomas sexuales (síndrome de Turner, síndrome de Klinefelter) y son en general más leves.
- La única forma de diagnosticar si un bebe o niño tiene una enfermedad cromosómica consiste en obtener una muestra de sangre o mucosa yugal.
CGH ARRAY
- El Array CGH (Hibridación genómica comparada) es una técnica de diagnóstico genético de última generación que permite diagnosticar anomalías cromosómicas con una resolución superior a las técnicas convencionales (cariotipo).
- Este test es una herramienta de estudio del genoma humano precisa y rápida, mediante la que se pueden detectar alteraciones en el ADN, incluidas microdeleciones y microduplicaciones.
- Varios desordenes genéticos se deben a la ganancia o pérdida de material genético, lo cual se suele detectar por citogenética. CGH-array permite ver cambios cromosómicos con más sensibilidad que otras técnicas.
¿En qué se diferencia el Array CGH del cariotipo convencional?
- El cariotipo o análisis citogenético convencional tiene una resolución limitada y solo permite detectar cambios en el número y/o en la estructura de los cromosomas de un tamaño superior a 5-10 millones de pares de bases (Mb). Sin embargo, con el Array es posible detectar simultáneamente ganancias o pérdidas de fragmentos de ADN responsables de más de 300 síndromes genéticos asociados a retraso mental, autismo, cardiopatías y otras patologías, en su mayoría no detectables mediante el cariotipo convencional.
Paneles
- Prueba genética en la que se analiza simultáneamente el estado de un grupo de genes asociados con una determinada patología.
- Podés conocer más sobre estos estudios en el Instituto de Medicina Genómica del Hospital.
EXOMA: Secuenciación mediante NGS
- La secuenciación del ADN es un conjunto de métodos y técnicas bioquímicas cuya finalidad es la determinación del orden de los nucleótidos (A, C, G y T) en una muestra de ADN.
- Se usa para conocer el orden exacto de todas las porciones del ADN que contienen la información para la elaboración de proteínas. Estas porciones de ADN se llaman exones y se piensa que conforman alrededor de 1 % del genoma de una persona (conjunto completo de ADN). La secuenciación del exoma completo se usa para encontrar mutaciones (cambios) en genes que a veces causan autismo, retraso madurativo, enfermedades genéticas como el cáncer, síndromes genéticos específicos.
Estudios Prenatales invasivos y no invasivos (ADN fetal en sangre materna)
- El Test Prenatal No Invasivo permite conocer la información genética de tu bebé a partir de una muestra de sangre materna.
- Se realiza a partir de la semana 10 de embarazo, en la que se estudia si existe una mayor proporción de material genético perteneciente a los cromosomas 21, 18 y 13, que sugieran la presencia de una trisomía, un trastorno genético en el que una persona tiene tres copias de un cromosoma en lugar de dos.
- También se diagnostican otras enfermedades relacionadas con los cromosomas sexuales, y con un grupo de desórdenes menos frecuentes llamados “microdeleciones”, en los cuales existe una pequeña pérdida de material genético.
- Estas pruebas son muy precisas, llegando a tasas de detección mayores del 99 % para la trisomía 21 y entre el 90-97 % para las otras dos trisomías.
- Solo requieren una extracción de sangre y por lo tanto no se asocian a riesgos para el embarazo. Sin embargo, cuando el resultado es positivo, es indispensable confirmarlo mediante una punción de líquido amniótico o vellosidades coriales debido a que pueden existir falsos positivos.
- Las pacientes interesadas en realizar este estudio deben realizar primero una consulta de asesoramiento sobre los alcances y limitaciones del mismo con el Servicio de Genética o en la Unidad de Medicina Fetal del Hospital. Los resultados están disponibles en aproximadamente 10 días. El informe se entrega en persona en una consulta de devolución especializada.
- Los estudios de ADN fetal no reemplazan a la Ecografía del Primer Trimestre, debido a que no son capaces de fechar el embarazo, diagnosticar malformaciones fetales severas ni identificar a las pacientes con alto riesgo de disfunción placentaria.
- El Test Prenatal se toma en nuestro Laboratorio y se debe solicitar turno previo por el consultorio de Genética . No es necesario ningún tipo de preparación ni ayuno. El resultado se entrega dentro de los 8 a 12 días hábiles una vez tomada la muestra.










