E1: Screening combinado de cromosomopatías, disfunción placentaria precoz y malformaciones mayores
Momento en que se realiza: 11-13 semanas
Objetivos:
1) CONFIRMAR LA VIABILIDAD DEL EMBARAZO
Desafortunadamente, en aproximadamente un 1% de las mujeres que concurren a realizarse la ecografía de las 11-14 semanas se constata que el embarazo se ha detenido, en general varias semanas antes sin producir ningún síntoma. En estos casos, le brindaremos a la pareja un asesoramiento detallado de las posibles causas así como de las opciones para reducir las chances de que esto vuelva a ocurrir en un próximo embarazo. Asimismo, ponemos a disposición de la pacientes nuestro equipo de psicólogos en caso de requerir contención adicional.
2) FECHAR EL EMBARAZO CON EXACTITUD
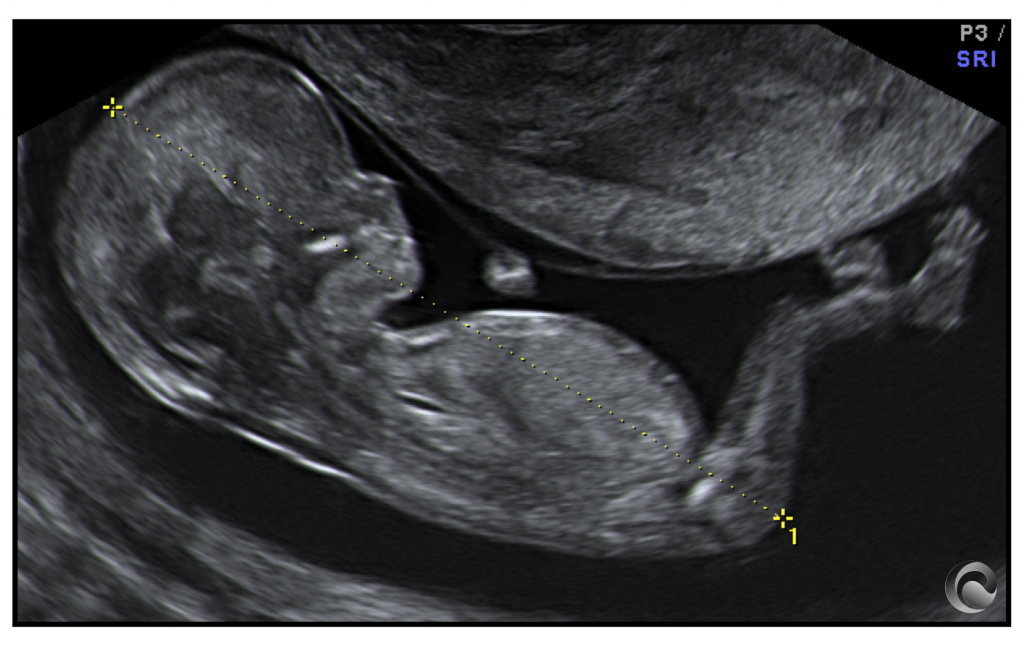
Esto es particularmente importante para mujeres que no recuerdan con precisión su fecha de la ultima menstruación, tienen ciclos irregulares, o han quedado embarazadas mientras tomaban anticonceptivos hormonales o estaban dando de mamar. Midiendo la longitud del bebé (LCN), podemos calcular con exactitud la edad del embarazo y estimar una fecha probable de parto. Esta forma de fechar el embarazo es más precisa que el cálculo a partir de la última menstruación aún en mujeres con ciclos regulares, por lo que permite realizar un seguimiento más exacto del crecimiento fetal durante la segunda mitad del embarazo y evitar inducciones innecesarias.
3) DIAGNÓSTICO y CLASIFICACIÓN DEL EMBARAZO MÚLTIPLE
Aproximadamente un 2% de concepciones naturales y 10% de las obtenidas a través de técnicas de reproducción asistida resultan en embarazos múltiples. La ecografía de las 11-14 semanas es útil para identificar si los bebés comparten o no el saco amniótico y la placenta, lo cual puede generar problemas en el embarazo. En tales casos, recomendaremos un seguimiento especial para estos embarazos.
4) DIAGNÓSTICO PRECOZ DE MALFORMACIONES FETALES
En aproximadamente un 1% de los embarazos, el bebé tiene una malformación mayor que puede ser detectada en la ecografía de las 11-14 semanas. Estas anomalías pueden ser severas, pero en muchos casos es posible tratarlas mediante cirugía antes o después del nacimiento del bebé. Ante el diagnóstico de un defecto congénito mayor nuestro equipo le explicará en detalle de qué se trata y cuáles son las opciones terapéuticas.
5) EVALUAR EL RIESGO DE SINDROME DE DOWN Y OTRAS ENFERMEDADES CROMOSÓMICAS
La evaluación combinada de características ecográficas tales como el grosor de la piel de la nuca, el tamaño del hueso nasal y el flujo en el corazón y el hígado del bebé, junto con las concentraciones de dos hormonas de la placenta en la sangre materna permiten identificar al pequeño grupo de embarazadas con un riesgo aumentado de tener un bebé con una enfermedad cromosómica. Estas pacientes pueden optar por realizar estudios genéticos prenatales más precisos. En la mayoría de los casos, el resultado de este test tranquilizará a los padres respecto de la muy baja probabilidad de que su bebe tenga alguna de estas patologías.
Para más detalles, ver «Screening o cribado de trisomías frecuentes» (link)
6) IDENTIFICAR TEMPRANAMENTE A LAS MUJERES CON MAYOR RIESGO DE DESAROLLAR PREECLAMPSIA GRAVE
La preeclampsia es un tipo de hipertensión arterial que ocurre sólo durante embarazo y que está relacionado con un desarrollo anormal de la placenta. En los pocos casos en los que se presenta antes de las 34 semanas, puede ser peligrosa tanto para el bebé y como para la embarazada.
Esta complicación es más frecuente en los primeros embarazos y constituye la segunda causa de muerte materna y una de las principales causas de nacimiento prematuro en nuestro país.
Hasta hace unos pocos años, el screening de preeclampsia era realizado en unos pocos centros especializados mediante la medición de la resistencia al flujo en las arterias uterinas (es decir, «cuánto le cuesta a la sangre llegar a la placenta”) durante el segundo trimestre para identificar a las embarazadas con mayor riesgo de desarrollar estas complicaciones. Esta información permite instaurar un seguimiento más cercano de la presión arterial y del crecimiento fetal en estos embarazos, con la intención de detectar alteraciones tempranamente y mejorar los resultados perinatales.
Evidencia proveniente de investigaciones recientes sugiere que la única forma de prevenir la preeclampsia en embarazos con alto riesgo consiste en identificar a las pacientes antes de las 16 semanas. Es por eso que además del screening del segundo trimestre, desde 2009 hemos sido pioneros en la implementación de un programa de screening combinado de trastornos hipertensivos en el primer trimestre. Esta prueba consiste en la medición de la tensión arterial en forma estandarizada y automatizada, la resistencia en ambas arterias uterinas mediante Doppler (durante la ecografía) y la determinación de hormonas placentarias entre las 10-14 semanas.
Hemos sido el primer grupo en publicar el rendimiento de este método en nuestro país, lp que nos permite identificar a casi 9 de cada 10 mujeres que desarrollarán preeclampsia antes de las 34 semanas (link nota). Las pacientes con alto riesgo pueden beneficiarse con tratamientos profilácticos que reducen a la mitad el riesgo de desarrollar preeclampsia e insuficiencia placentaria.
Independientemente del resultado de la ecografía de las 11-14 semanas, el mejor momento para evaluar en detalle la anatomía fetal con la intención de descartar la presencia de malformaciones congénitas es durante la ecografía morfológica de las 22-24 semanas (E2), para la cual le daremos un turno al finalizar el presente estudio.
En dicha consulta también le ofreceremos una prueba de screening que nos permitirá saber si Ud tiene un riesgo aumentado de desarrollar complicaciones graves tales como parto prematuro y revaluaremos el riesgo de insuficiencia placentaria y problemas de crecimiento en el bebé.
Preguntas frecuentes
¿La ecografía se realiza por vía transvaginal?
En más del 90% de los casos, la ecografía se puede hacer completamente a través del abdomen de la mamá. En algunos casos en los que la visualización no es óptima por este método, será necesario completar la ecografía por vía transvaginal. En los últimos años hemos comenzado a ofrecer a todas nuestras pacientes una breve ecografía transvaginal al final de la E1 cuyo objetivo principal es medir el cuello uterino en condiciones basales, lo cual nos permite tener un parámetro de comparación para la ecografía E2, lo cual puede tener importancia en la identificación de mujeres con más riesgo de parto prematuro.
¿Debo tener la vejiga llena antes de la ecografía?
No es necesario que concurra a la ecografía con la vejiga llena.
¿Qué “marcadores” se miden en la ecografía?
Durante la ecografía mediremos la longitud del bebé y la translucencia nucal (grosor de la piel de la nuca). Cuánto mayor es el valor de la translucencia, mayor es la probabilidad de enfermedades cromosómicas como las trisomías, malformaciones congénita y muchos síndromes genéticos. También evaluamos el desarrollo de los huesos de la nariz (un 60% de los fetos con síndrome de Down tiene nariz pequeña y un desarrollo más lento de los huesos nasales). Adicionalmente, verificamos el normal funcionamiento de la válvula derecha del corazón (llamada tricúspide) y el flujo sanguíneo a través de una pequeña vena en el hígado del bebe llamada ductus venoso.
¿Pueden verse todas las malformaciones a esta edad gestacional?
Aproximadamente un 40-50% de las malformaciones son visibles durante la ecografía del primer trimestre. Se trata en general de los defectos más severos. Debido a que algunos órganos son todavía muy pequeños y todavía tienen que completar su desarrollo, es necesario reevaluar la anatomía fetal a las 22 semanas. A esa edad gestacional podemos diagnosticar un 40% adicional de malformaciones, en particular algunas de los defectos que pueden afectar al corazón y al cerebro fetal.
Durante las ecografías del tercer trimestre pueden diagnosticarse un 1-2% adicional de defectos de aparición tardía (tumores, obstrucciones) o adquiridos (infecciones, hemorragias, etc), que son muy infrecuentes.
Lamentablemente no es posible diagnosticar todas las malformaciones fetales y algunas sólo se hacen evidentes después del nacimiento.
Tampoco es posible diagnosticar mediante ecografía problemas sensoriales (como la ceguera o la sordera) o funcionales (autismo, enfermedades metabólicas, epilepsia, retraso mental, etc). Para algunas de estas enfermedades existen estudios postnatales que se realizan de rutina a todos los bebés para identificar a los pocos que las padecen.
La tasa de detección de malformaciones es altamente dependiente de la experiencia del ecografista, por lo que recomendamos que estas ecografías sean realizadas por especialistas en medicina fetal certificados por la Fetal Medicine Foundation. Todos los operadores de nuestro equipo han sido certificados y se someten a auditorías anuales para las distintas modalidades de ecografía fetal por la Fetal Medicine Foundation. Puede consultar el listado de médicos certificados en Argentina en www.fetalmedicine.org/certificates-of-competence
¿Puedo pedir que no se me informe el riesgo de enfermedades cromosómicas o la presencia de una malformación grave?
La mayoría de nuestras pacientes recibirán buenas noticias referentes a que su bebé viene desarrollándose normalmente. Sin embargo, la ecografía mostrará en algunas pocas que el embarazo se ha detenido o que el bebé presenta alguna anomalía grave. Algunas mujeres no querrán que se les informe si su bebé tiene una malformación o una translucencia nucal aumentada. Si este es el caso, su decisión será respetada, pero por favor háganoslo saber antes de comenzar la ecografía. Esta información es importante desde el punto de vista médico, debido a que nos permite discutir con los padres las distintas opciones diagnósticas y terapéuticas existentes así como el pronóstico y riesgo de recurrencia para un próximo embarazo.
¿Puedo saber el sexo del bebe en la ecografía del primer trimestre?
Sabemos que algunas parejas quieren conocer el sexo del bebé lo más temprano posible. La tasa de acierto en la asignación del sexo fetal varía entre el 70% a las 11 semanas y el 99% a las 13 semanas, debido a que a esta altura del embarazo tanto los fetos femeninos como los masculinos tienen una estructura común llamada tubérculo genital. Podemos decirles a los padres cual es nuestra “sospecha” -que se basa en la sutil diferencia en el ángulo entre el tubérculo genital y el cuerpo del feto- pero el mejor momento para saber el sexo del bebé con certeza es la ecografía de las 22-24 semanas (E2). En general, nuestra tasa de acierto en el primer trimestre es mayor al 95%. Pero por las dudas, si compra ropa, guarde los tickets!
¿Puedo grabar la ecografía?
Nuestro trabajo como médicos fetales consiste en primer lugar en realizar una evaluación detallada del embarazo con la intención de detectar patologías fetales y factores de riesgo que puedan afectar al bebe y a su madre. Sabemos que para los padres la ecografía es un momento especial que les pemite conectarse afectivamente y empezar a conocer a su hijo por nacer. Es por eso que grabamos algunas partes de la ecografía una vez que hemos completado los objetivos médicos de la misma. La posibilidad de obtener videos tridimensionales (“4D”) depende de la posición del bebe y de otras variables tales como la presencia de sobrepeso materno, cicatrices abdominales, etc. Si bien los turnos son de 45 minutos, la ecografía termina cuando el médico fetal ha podido evaluar completamente al feto y a los padres se les han acabado las preguntas (en caso de haber algún hallazgo patológico). En ocasiones, es posible que esto requiera varias sesiones de ecografía durante el día, hasta obtener las imágenes necesarias para completar el estudio detallado fetal. Los padres interesados en llevarse clips de video “4D” deberán traer a la ecografía un pendrive USB o un CD (no DVD). No hacemos ecografías 4D sociales («carita») ni entregamos llaveros, remeras u otro merchandising; todos nuestros estudios tienen un objetivo asistencial.
¿Puedo llevar acompañantes? ¿Pueden asistir los niños?
Por cuestiones de seguridad, la política del hospital permite la asistencia de 2 acompañantes por ecografía. En caso de concurrir con niños, debe haber un adulto responsable del cuidado del mismo ya que en consultorio hay instrumentos que pueden ser peligrosos. Siempre es deseable que concurra la paciente con su pareja. Debe tenerse en cuenta que por tratarse de un estudio médico, es posible que el especialista se encuentre con hallazgos patológicos inesperados (aún en ecografías de rutina) que deban ser discutidos con los padres y que pudieran afectar a la sensibilidad de los niños.

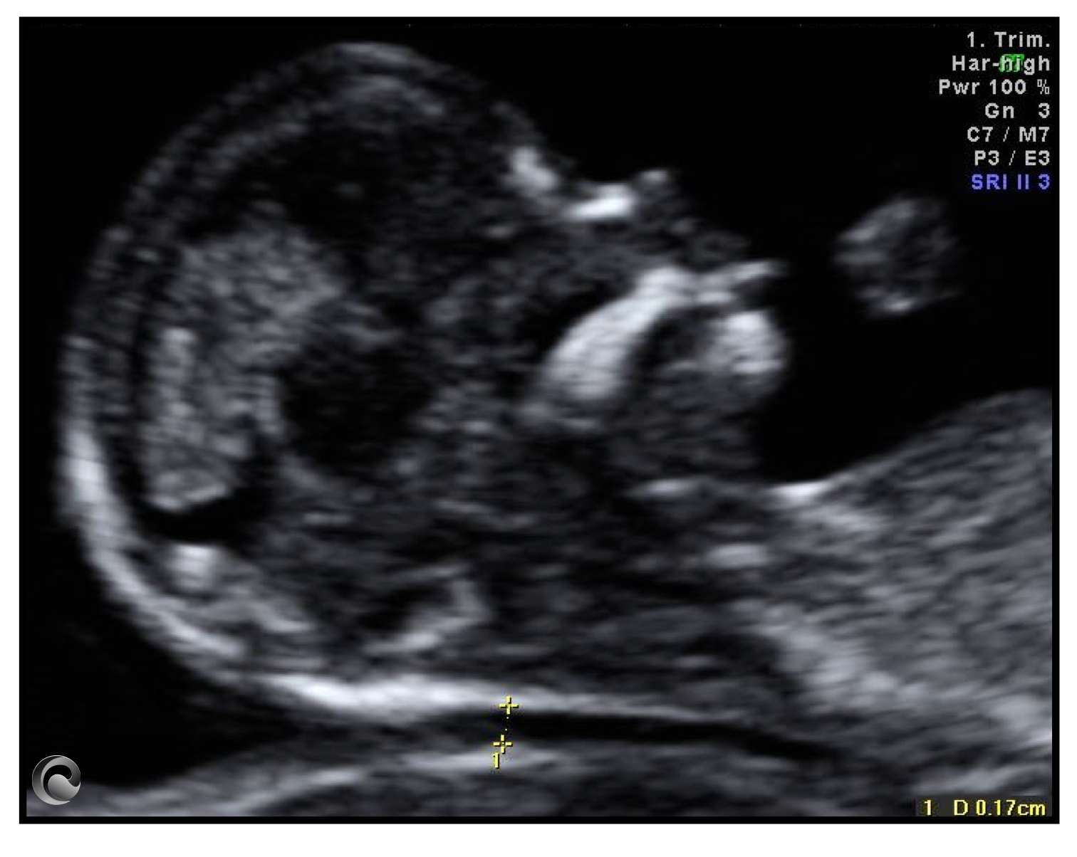
Plano mediosagital estricto de la cara fetal entre las 11-13 semanas en el que mide la translucencia nucal y se evalúa la presencia del hueso nasal
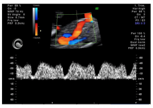
Correcta evaluación del flujo sanguíneo a través de la válvula tricúspide del corazón fetal entre las 11-13 semanas

Correcta evaluación de flujo sanguíneo a través del ductus venoso fetal entre las 11-13 semanas
Reproductor de vídeo
Visión completa tridimensional dinámica («4D») de un feto durante las 11-13 semanas










